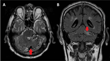
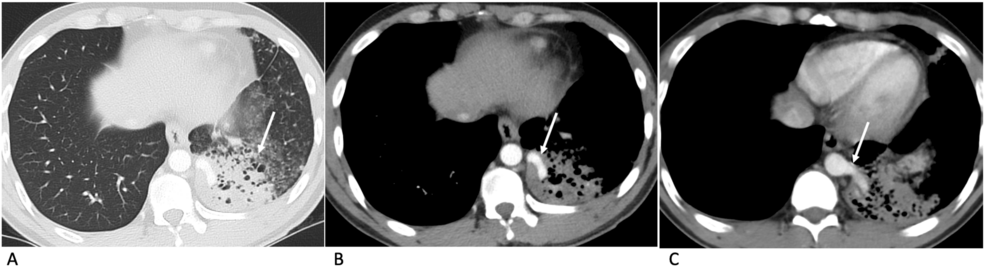
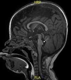
Radiology
Explore the latest advancements in radiology with the Cureus Journal of Medical Science. Our Open Access platform features a wide range of articles on imaging techniques, diagnostic innovations, and treatment planning.
Share your radiology research, read and rate articles, and connect with a global community of radiologists advancing medical imaging.
POPULAR
LEARN MORE ABOUT CUREUS
Learn how Cureus facilitates the sharing of cutting-edge radiology studies and imaging breakthroughs.
Publishing in Cureus
Backed by Springer Nature, Cureus is a medical research journal that provides a smarter, more affordable, and hassle-free publishing experience. Learn more about the benefits of publishing with Cureus as well as how it all works!
Academic Channels
The subscription-based medical research publishing service that every academic department, medical school, and medical society needs. Create a branded destination showcasing your research and clinical experiences.
Article Collections
Cureus Collections present medical research articles by specific themes, simplifying the process of finding relevant research. We're not just curating science; we're curating the future of scientific exploration.
About Us
Cureus is dedicated to eliminating barriers to the generation and dissemination of medical knowledge. We’re leveraging the power of an online community platform to share and promote peer-reviewed medical research around the world.
BECOME A GUEST EDITOR
Join the Cureus Journal of Medical Science as a guest editor to guide radiology study topics and future directions.
Lead innovation
Shape the future of imaging techniques and diagnostics.
Set research goals
Influence research directions in diagnostic radiology.
Demonstrate new techniques
Present advancements in radiomics and AI integration.
Increase visibility
Strengthen your reputation in radiological sciences.
Cover diverse areas
Cover various topics from neuroimaging to interventional radiology.
CUREUS COLLECTIONS IN THE SPOTLIGHT
Explore curated collections of radiology research to broaden your understanding of emerging imaging techniques.
More Collections >
Call for Articles
Guest Editor Collection
About Cureus Medical Specialties
Want to discover research beyond radiology topics? Our journal covers diverse specialties to broaden your medical knowledge, from pediatric surgery and anesthesiology to emergency medicine and occupational health.
Browse our specialties today and contribute to the advancement of knowledge by reviewing articles.


